◆お口の審査と診断
お口の健康診断を受けられることは大切なこと!
検査診断を受けることで、あなたの現在のお口の状態がどういうことなのか知ることが出来ます。未然に悪化を防ぎ、治療前、治療後の変化も確認できます。
歯を長く持たせるためにも、検査は大切なのです。
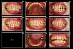
◎口腔内写真(デジタル)
・今(受診時)の状態を写真で保存でき、将来の変化状態と比較分析できます。
・説明時に鏡を見ながらよりも分かりやすいです。
・器具で唇を引っ張るのできつい場合があります。(唇が痛い場合もあります)

◎デンタルX線写真(デジタル)
・目に見えない1本1本の歯・歯周組織(骨)の状態が把握できます。

◎パノラマX線写真(デジタル)
・大まかな上下顎・歯の状態が一度に把握できます。

~戻る